This is a healthcare professional site

The information contained in the site is intended for US healthcare professionals only. By selecting “Okay” below, you verify that you are a licensed US healthcare professional.

No

how-to-prepare-stains

Preparing & testing for CLDN18.2

Learn how to test for CLDN18.2, and the impact of preanalytical factors on staining.1,2

How to prepare Background

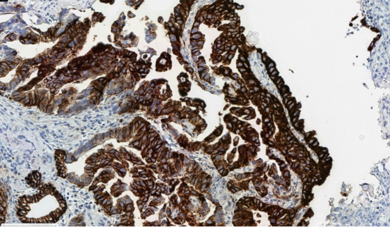
Why use CLDN18 antibodies for detecting CLDN18.2 in G/GEJ tumour samples?

CLDN18 antibodies can identify both CLDN18 isoforms—CLDN18.1 and CLDN18.2. But when evaluating G/GEJ tumour tissue, you can be confident in attributing staining to the presence of CLDN18.2 because2,3:

  • CLDN18.2 is normally present in gastric epithelium and is often retained in malignant gastric tissue3
  • CLDN18.1 is primarily expressed in adenocarcinoma lung tissue; its expression is undetectable in G/GEJ cancers3

Sample preparation and preanalytics

Appropriate specimen handling and preparation are essential to ensure the accuracy of biomarker results.

overlayimage
play-icon

sample-preparation-and-testing

Video Overlay Titlle

Video Overlay description

sample-preparation-and-testing

closeicon
volumeicon

sample-preparation-and-testing

closeicon

sample-preparation-and-testing

transcript

How to Prepare CLDN18.2 Samples for Testing

Takeshi Kuwata, MD, PhD

Line circles Background

Sample preparation

Guidelines recommend daily tissue processor maintenance per the manufacturer recommendations, and rigorous quality maintenance of processor fluids, including formalin pH/purity and water contamination of alcohols.1

Cold ischemic time

Cold ischemic time should be limited to ≤60 minutes according to current guidelines.1

Fixation

Guidelines provide recommendations regarding dimensions and duration involved in sample fixation.1

Key Dimension Ruler Icon

Key dimensions1

  • Tissue should be completely submerged in fixative

  • Ensure a fixative volume to tissue mass ratio of no less than 4:1, with an optimal ratio of 10:1

  • Paraffin should be melted at <60°C

  • Specimen containing sufficient tumour tissue for analysis (at least 50 viable tumour cells)

Key Dimension Ruler Icon

Key durations1

  • As part of stabilisation, tissue should be fixed in 10% neutral phosphate-buffered formalin (pH 7.0) for at least 6 hours and no longer than 24 to 36 hours

  • If the tissue has high fat content, fixation may require up to 48 hours

Suboptimal tissue fixation1

It is important to optimize pre-analytical variables to minimize staining artifact.

clyptophasmic

Cytoplasmic blushing due to suboptimal fixation, which can lead to complications when scoring membranous staining.

Specimen preparation2

  • Routinely processed, formalin-fixed, paraffin-embedded (FFPE) tissues are suitable for use with IHC testing

  • Specimens that are fine-needle aspirate (FNA), cytology specimen or metastatic bone lesion do not qualify for CLDN18 staining

  • Tissue sections can be cut at 3 µm-6 µm*

  • Before staining, the cut slides should be dried completely either at room temperature (air dried)
    or by offline baking (baked in oven) at 60°C for 60 minutes*

*CLDN18 specific.

Storage conditions1

  • To ensure integrity of nucleic acid and protein in blood/serum:

  • ≤1 freeze/thaw cycle

  • For proteins, use aliquots

Green circles Background
section_graphics

Testing

Options for evaluating CLDN18.2 IHC expression

A number of assays, antibodies, and platforms are available for the assessment of CLDN18.2 expression. Assays and antibodies include the VENTANA CLDN18 (43-14A) IVD Assay, the LSBio PathPlus™ CLDN18 Antibody, and the [FPO Abcam CLAUDN18 Antibody]. Options for platforms include BenchMark ULTRA, Dako Autostainer, and Leica Bond.4

The list of antibodies/assays and platforms is not exhaustive and the tests mentioned above are not currently FDA-approved companion diagnostics. Please use the appropriate test to guide in clinical decision-making.

overlayvideoimage
play-icon

sample-preparation-and-testing

sample-preparation-and-testing

closeicon
volumeicon

sample-preparation-and-testing

closeicon

sample-preparation-and-testing

How to Test for CLDN18.2

Christoph Röcken, MD

Select appropriate Controls

Appropriate controls are essential for the detection of CLDN18.2 in G/GEJ tumor samples. Here are some key points on their selection and use.5

Validation Controls

Guidelines recommend that laboratories validate and/or verify immunohistochemical tests before placing them into clinical service and should include positive, negative, and borderline tissue, reflecting the intended use of the assay.5

Run Controls

  • It is recommended to use optimal run controls, including positives and negatives2
  • Gastric intestinal metaplasia tissue is an example of an appropriate positive and negative control as it demonstrates2
    • Strong membranous staining in normal gastric epithelial cells
    • Weak-to-moderate membranous staining of epithelial cells in areas of metaplasia
    • Absence of staining in lamina propria, lymphocytes, smooth muscle, blood vessels, and peripheral nerve
  • If the positive controls fail to demonstrate staining, results of the test specimen should be considered invalid2
  • Known positive tissue controls should be utilised only for monitoring performance of reagents and instruments, not as an aid in determining specific diagnosis of test samples2

CAP PPMPT, College of American Pathologists Preanalytics for Precision Medicine Project Team; CLDN, claudin; CLDN18.1, claudin 18 isoform 1; CLDN18.2, claudin 18 isoform 2; FDA, US Food and Drug Administration; G/GEJ, gastric/ gastroesophageal junction; IHC, immunohistochemistry; IVD, in vitro diagnostic.

Platforms and antibody performance characteristics

In a study assessing the reproducibility and comparability of three CLDN18 antibodies and IHC staining platforms across a cohort of 27 global laboratories4,*,†:

  • Analytical performance (accuracy, sensitivity, and specificity) of the VENTANA CLDN18 (43-14A) IVD Assay was >95% and reproducible across the 27 laboratories vs consensus reference results2,4
  • Analytical performance was equivalent to the VENTANA (43-14A) IVD Assay for the LSBio antibody when stained on the Dako or Leica platform4
  • Staining was reproducible for the LSBio antibody4

*Antibodies in the study comprised the VENTANA CLDN18 (43-14A) IVD Assay from Roche Tissue Diagnostics, the PathPlus™ CLDN18 Antibody from LSBio, and the Claudin-18 Antibody from Novus Biologicals. Platforms comprised BenchMark ULTRA, Dako Autostainer, and Leica Bond.4

†Consensus reference scores from all antibodies for each sample were determined by central pathology review. CLDN18.2 positivity was defined with a threshold of ≥75% of tumour cells expressing membranous CLDN18 with moderate-to-strong (≥2+) staining intensity. Accordingly, participating pathologists were required to submit a binary positive/negative call as well as an estimation of the percent of cells stained. Laboratory-submitted IHC scores were compared to the reference consensus score and considered discordant if the positive/negative binary result differed. Statistical analysis was performed for comparison and an acceptance criteria of 85% (≥0.85) was applied.4

Howtoprepare-Background

Reflexive testing can improve patient outcomes

Delaying biomarker testing may worsen clinical outcomes

Guidelines recommend testing for all available, actionable biomarkers, such as HER2, at time of diagnosis if metastatic gastric cancer is documented or suspected.6

ESMO guidelines recommend testing for CLDN18.2.6

Any new biomarker should be tested concurrently with other biomarkers to allow for timely reporting of results.6,7

Reflexive testing allows targeted therapy to begin sooner, improving clinical outcomes

In a cohort of advanced cancer patients comprising diverse cancer types (N=1423), implementation of a reflex testing protocol at time of diagnosis was associated with improved overall survival.7

OS at 12 months
70.1%
(95% CI: 64.4-76.3) for targeted therapy-treated patients
62.9%
(95% CI:58.8-67.3) with chemotherapy only

We’ve seen evidence that reflexive testing improves patient outcomes. It’s critical that pathologists advocate for testing at diagnosis for all prevalent, actionable biomarkers.

Matteo Fassan, MD, PhD

KristinaA.Matkowskyj
MatteoFassan

Reflexive testing improves patient care through timely availability of biomarker results and initiation of optimal systemic therapy.7

spirals_corner
how-to-prepare-stains
Learn more about interpreting CLDN18.2 staining
spirals_corner
how-to-prepare-stains

Learn more about interpreting CLDN18.2 IHC expression

References: 1. Compton CC, Robb JA, Anderson MW, et al. Preanalytics and precision pathology: pathology practices to ensure molecular integrity of cancer patient biospecimens for precision medicine. Arch Pathol Lab Med 2019;143(11):1346-63. 2. Ventana CLDN18 (43-14A) assay [package insert]. Mannheim, Germany: Roche Diagnostics GmbH. 3. Sahin U, Koslowski M, Dhaene K, et al. Claudin-18 splice variant 2 is a pan-cancer target suitable for therapeutic antibody development. Clin Cancer Res 2008;14(23):7624-34. 4. Jasani B, Schildhaus HU, Taniere P, et al. Global ring study determining reproducibility and comparability of CLDN18 testing assays in gastric cancer. Poster presented at: ESMO Targeted Anticancer Therapies Congress; March 6-8, 2023; Paris, France. 5. College of American Pathologists. IHC assays—New evidence-based guideline for analytic validation (04-01-2004). https://documents.cap.org/documents/ihc-validation-webinar-handout.pdf. Accessed 03-30-2023. 6. ESMO Gastric Cancer Living Guidelines (07-2023). https://www.esmo.org/living-guidelines/esmo-gastric-cancer-living-guideline/diagnosis-pathology-and-molecular-biology/article/ diagnosis-pathology-and-molecular-biology. Accessed 09-07-2023. 7. Piening B, Bapat B, Weerasinghe RK, et al. Improved outcomes from reflex comprehensive genomic profiling-guided precision therapeutic selection across a major US healthcare system [Abstract 6622]. J Clin Oncol 2023;41(Suppl 16).