This is a healthcare professional site

The information contained in the site is intended for US healthcare professionals only. By selecting “Okay” below, you verify that you are a licensed US healthcare professional.

No

Close-up of a microscope with an abstract overlay of white circles in a lab setting

Interpreting stains

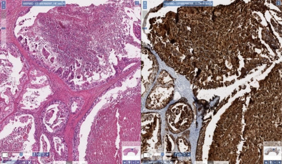
Studies have evaluated both membranous staining and percentage of tumour cells stained for CLDN18.2 expression.1,2

In G/GEJ tumours, CLDN18.2 is reported as the percentage of tumour cells stained with moderate-to-strong membranous stain intensity.1

  • Tissue slides with tumour cells present can demonstrate varying levels of CLDN18 membranous staining intensity, ranging from no staining to strong staining (0 to 3+)
  • Many studies have included percentage of tumour cells with only moderate-to-strong (2+/3+) membranous staining for scoring CLDN18

stain-interpretation

Account for tumor necrosis during interpretation.

overlayvideoimage
play-icon

stain-interpretation

stain-interpretation

closeicon
volumeicon

stain-interpretation

closeicon

stain-interpretation

How to Interpret CLDN18.2

Josef H. Rüschoff, MD

Click to view stain gallery

Grey circles on light background

When reporting CLDN18.2 expression, both staining intensity and percentage of tumour cells stained should be included.1

References: 1. Pellino A, Brignola S, Riello E, et al. Association of CLDN18 protein expression with clinicopathological features and prognosis in advanced gastric and gastroesophageal junction adenocarcinomas. J Pers Med (Epub) 10-26-2021. 2.Rohde C, Yamaguchi R, Mukhina S, et al. Comparison of Claudin 18.2 expression in primary tumors and lymph node metastases in Japanese patients with gastric adenocarcinoma. Jpn J Clin Oncol 2019;49(9):870-6.